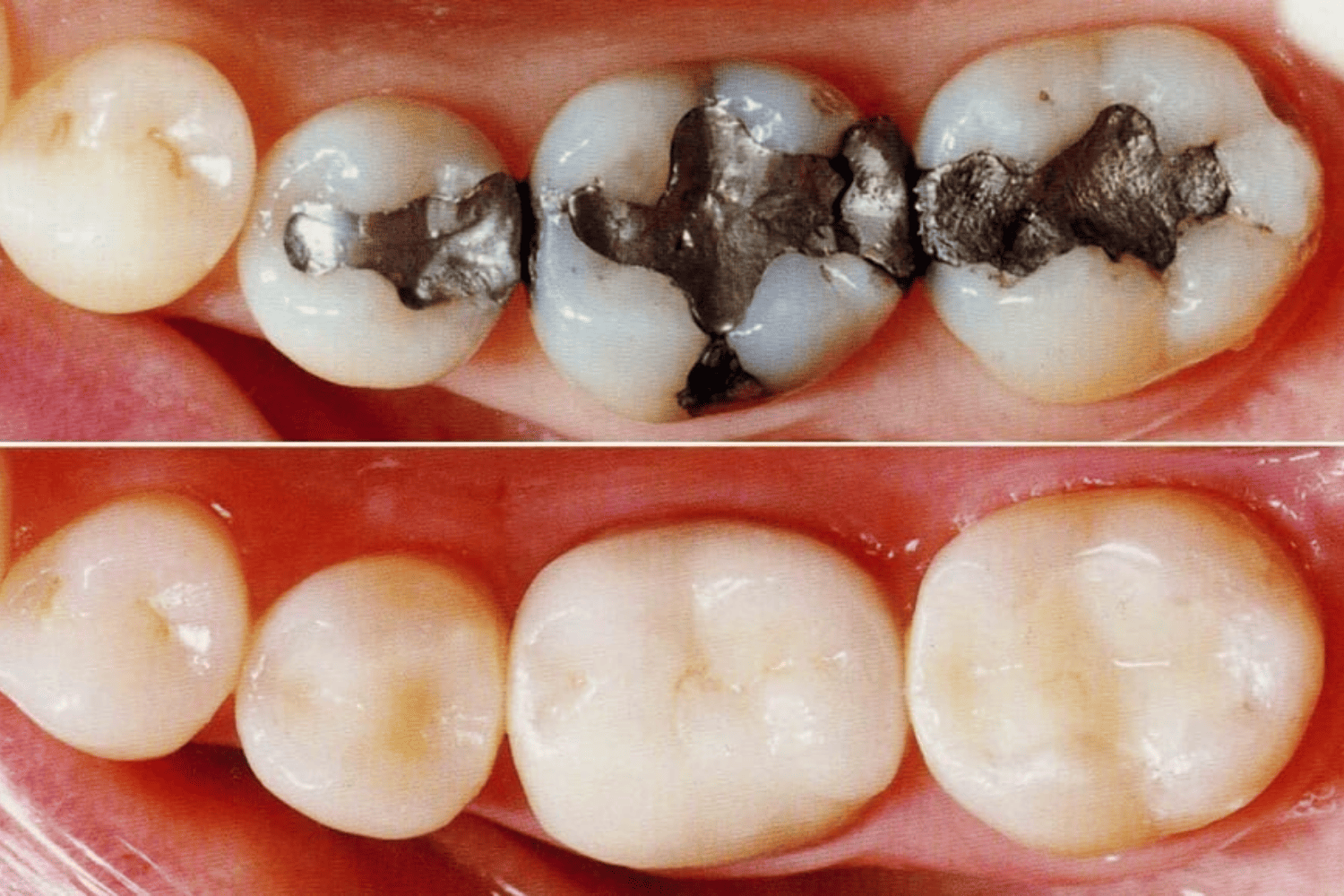
Gone are the days of silver amalgam fillings that stand out. At Caps and Crowns Dental, we provide advanced composite (tooth-colored) fillings that restore your teeth while preserving their natural appearance. These are ideal for treating cavities in both front and back teeth.
Unlike traditional silver (amalgam) fillings, tooth-coloured fillings are made from durable composite resin that matches the exact shade of your teeth — giving you a strong, aesthetic, and long-lasting restoration.
Don’t let decay or broken teeth dampen your smile. Contact us now to set an appointment, and we guarantee a beautiful, healthy smile.
Composite fillings are completely safe, biocompatible, and mercury-free.
For large cavities, we may recommend inlays, onlays, or crowns for better long-term strength.